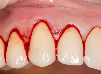
Что такое гингивит? Что вызывает гингивит?

Гингивит означает воспаление десен (десна). Это обычно происходит из-за пленок бактерий, накапливающихся на зубах – бляшка; это типы 1, названные вызванным бляшкой гингивитом.
Гингивит является неразрушающим типом пародонтоза. Если оставлено невылеченный, гингивит может прогрессировать до периодонтита, который более серьезен и может в конечном счете привести к потере зубов. …
